歯の矯正治療 症例ビフォー&アフター
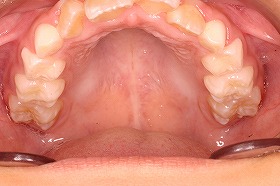
前歯に大きなガタツキがある症例です。
奥歯はまだ乳歯が残っているので、前歯を矯正しながら
生え変わりと共に、全体的に整えていきました。
もともとアゴの小さい方でしたので、
将来奥歯が生えてきたときのスペースも考えながら
治療を進めていきました。
最終的に理想的な歯並びになり、虫歯もゼロの状態です。
あごの骨が柔らかい幼少時から東京世田谷矯正歯科歯並びで
治療進めてきたので、無理なく治療を行う事が出来ました。
主なリスク・副作用・費用等
治療結果には個人差があります。
リスクや副作用に配慮して、丁寧に治療を行います。
今回の治療費 表側矯正治療全顎 装置費80万円+税 調整1回5000円+税
費用はお口の状態によって一定ではありません。
ご希望をお聞きし、歯の状態を検査してお見積もりしています。














.jpg)
.jpg)
.jpg)
.jpg)
.jpg)
.jpg)
.jpg)
.jpg)


