歯の矯正治療 症例ビフォー&アフター
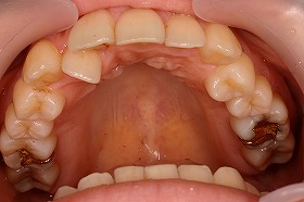
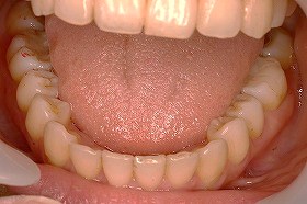
ご覧の症例は前歯が奥にずれてしまい、ハミガキなどがし辛い状態でした。
東京世田谷矯正歯科歯並びで噛み合わせの状態も考え、
上下で矯正治療を行いました。
治療後は、上の前歯のずれはもちろんなのですが、
下の前歯の微妙ながたつきも無くなり、
とてもキレイな歯並びになりました。
上の歯のずれが大きいものでしたので、
裏から後戻り防止のリテーナーをつけているのですが、
前からも見え辛いものなので、見た目を気にすることなく
過ごす事ができているようです。
主なリスク・副作用・費用等
治療結果には個人差があります。
リスクや副作用に配慮して、丁寧に治療を行います。
今回の治療費 表側矯正治療全顎 装置費80万円+税 調整1回5000円+税
費用はお口の状態によって一定ではありません。
ご希望をお聞きし、歯の状態を検査してお見積もりしています。














.jpg)
.jpg)
.jpg)
.jpg)
.jpg)
.jpg)
.jpg)
.jpg)


