歯の矯正治療 症例ビフォー&アフター
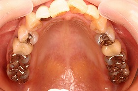
ご覧の症例は前歯のねじれ出っ歯を矯正治療でキレイにし、
さらに、奥歯のぎらつく銀歯をセラミックにつめなおしたケースです。
歯並びキレイになると、つめものの色も気になってくるようですね。
矯正治療と合わせてつめものを詰め替える方も多くいらっしゃいます。
東京世田谷矯正歯科歯並びでは、患者様の満足の行く状態まで
家族のように親身になって治療を進めていきます。
疑問や不安が少しでもあれば、そのままにせずに
何でも相談して解決してください。
主なリスク・副作用・費用等
治療結果には個人差があります。
リスクや副作用に配慮して、丁寧に治療を行います。
今回の治療費 表側矯正治療全顎 装置費80万円+税 調整1回5000円+税 セラミック治療12本856,000円+税
費用はお口の状態によって一定ではありません。
ご希望をお聞きし、歯の状態を検査してお見積もりしています。














.jpg)
.jpg)
.jpg)
.jpg)
.jpg)
.jpg)
.jpg)
.jpg)
.jpg)
.jpg)


